我們將使用cookie等資訊來優化您的體驗,繼續瀏覽即表示您同意我們使用。欲瞭解詳細內容,請詳閱
隱私權保護政策
×
創健雲科技輔具中心
SEARCH:
關於我們
醫療顧問
高雄輔具中心
創辦人的話
我們的願景
我們的承諾
脊椎側彎
脊骨矯形
青少年駝背矯形背架
青少年雞胸矯形支具
腰椎椎間盤矯形背架
腰椎退化狹窄矯形背架
案例分享
背架案例
好書推薦
新知分享
脊椎側彎
背架
聯絡我們
案例分享
首頁
案例分享
背架案例
背架案例
請選擇排序方式
請選擇排序方式
上架時間 新→舊
上架時間 舊→新
每頁顯示12筆
每頁顯示12筆
每頁顯示16筆
每頁顯示20筆
每頁顯示24筆
one
two
four
Read More
13歲S型重度脊椎側彎女孩
13歲重度脊椎側彎女孩
胸彎57度
腰彎34度
13歲S型重度脊椎側彎女孩
Read More
13歲S型脊椎側彎女孩
13歲S型脊椎側彎女孩
胸椎39度,腰椎36度
13歲S型脊椎側彎女孩
Read More
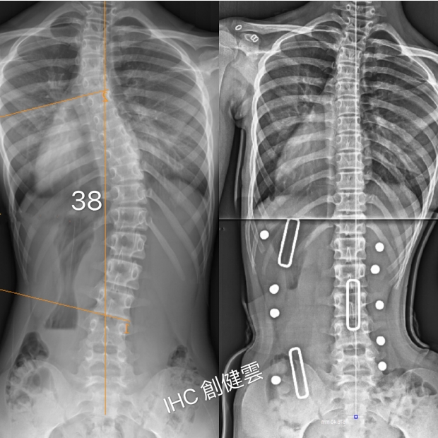
13歲脊椎側彎女孩
13歲脊椎側彎女孩
側彎38度
13歲脊椎側彎女孩
Read More
15歲S型脊椎側彎女孩
15歲S型脊椎側彎女孩
胸彎31度,腰彎35度
15歲S型脊椎側彎女孩
Read More
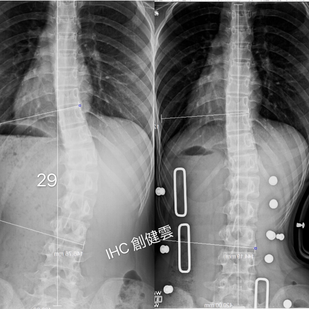
14歲脊椎側彎女孩
14歲脊椎側彎女孩
胸腰彎29度
14歲脊椎側彎女孩
Read More
14歲S型脊椎側彎女孩
14歲S型脊椎側彎女孩
胸彎26度,腰彎31度
14歲S型脊椎側彎女孩
Read More
15歲中度脊椎側彎女孩
15歲中度脊椎側彎女孩
腰彎30度
15歲中度脊椎側彎女孩
Read More
15歲脊椎側彎女孩
15歲脊椎側彎女孩
胸腰彎38度
15歲脊椎側彎女孩
Read More
16歲C型脊椎側彎女孩
16歲C型脊椎側彎女孩
腰彎33度
16歲C型脊椎側彎女孩
Read More
16歲重度脊椎側彎女孩
16歲重度脊椎側彎女孩
胸腰彎50度
16歲重度脊椎側彎女孩
Read More
18歲脊椎側彎女孩
18歲脊椎側彎女孩
胸彎28度,腰彎45度
18歲脊椎側彎女孩
Read More
20歲脊椎側彎女孩
20歲脊椎側彎女孩
胸腰彎33度
20歲脊椎側彎女孩
第一頁
上一頁
1
2
3
4
下一頁
最後一頁
第 1 頁
第 2 頁
第 3 頁
第 4 頁
產品搜尋
回首頁
SEARCH:
關於我們
醫療顧問
高雄輔具中心
創辦人的話
我們的願景
我們的承諾
脊椎側彎
脊骨矯形
青少年駝背矯形背架
青少年雞胸矯形支具
腰椎椎間盤矯形背架
腰椎退化狹窄矯形背架
案例分享
背架案例
好書推薦
新知分享
脊椎側彎
背架
聯絡我們
02-2388-1766
ihc.orthotics@gmail.com
line://ti/p/@221vrviy