我們將使用cookie等資訊來優化您的體驗,繼續瀏覽即表示您同意我們使用。欲瞭解詳細內容,請詳閱
隱私權保護政策
×
創健雲科技輔具中心|德國Schroth脊椎側彎矯正背架專家
SEARCH:
關於我們
醫療顧問
高雄輔具中心
創辦人的話
我們的願景
我們的承諾
脊椎側彎
脊骨矯形
青少年駝背矯形背架
青少年雞胸矯形支具
腰椎椎間盤矯形背架
腰椎退化狹窄矯形背架
案例分享
背架案例
好書推薦
新知分享
脊椎側彎
背架
聯絡我們
案例分享
首頁
案例分享
案例分享
案例分享
請選擇排序方式
請選擇排序方式
上架時間 新→舊
上架時間 舊→新
每頁顯示12筆
每頁顯示12筆
每頁顯示16筆
每頁顯示20筆
每頁顯示24筆
one
two
four
Read More
16歲脊椎側彎男生
16歲脊椎側彎男生,腰彎21度
16歲脊椎側彎男生
Read More
16歲脊椎側彎女孩,胸彎34度,腰彎44度
16歲脊椎側彎女孩,胸彎34度,腰彎44度
16歲脊椎側彎女孩,胸彎34度,腰彎44度
Read More
12歲脊椎側彎女孩,腰彎35度
12歲脊椎側彎女孩,腰彎35度
12歲脊椎側彎女孩,腰彎35度
Read More
15歲脊椎側彎男生
15歲脊椎側彎男生,胸彎30,腰彎26度
15歲脊椎側彎男生
Read More
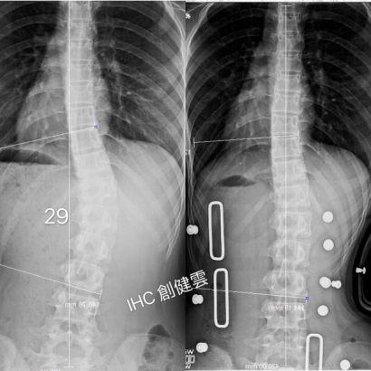
14歲脊椎側彎男生,腰彎29度
14歲脊椎側彎男生,腰彎29度
14歲脊椎側彎男生,腰彎29度
Read More
17歲脊椎側彎女生,腰彎36度
17歲脊椎側彎女生,腰彎36度
17歲脊椎側彎女生,腰彎36度
Read More
19歲脊椎側彎男生,腰彎42度
19歲脊椎側彎男生,腰彎42度
19歲脊椎側彎男生,腰彎42度
Read More
21歲成年女生,側彎28度
21歲脊椎側彎女生 胸彎28度
聲明: 以上背架矯正案例皆為創健雲團隊親自製作,未經同意請勿任意轉載及使用。任何背架矯治效果因人而異,必須由專家當面諮詢與評估。
21歲成年女生,側彎28度
Read More
15歲重度脊椎側彎女孩
15歲重度脊椎側彎女孩
胸彎44度
15歲重度脊椎側彎女孩
Read More
22歲脊椎側彎女孩
22歲脊椎側彎女孩
胸腰彎34度
22歲脊椎側彎女孩
Read More
15歲脊椎側彎男孩
15歲脊椎側彎男孩
胸彎40度
15歲脊椎側彎男孩
Read More
14歲C型脊椎側彎女孩
14歲C型脊椎側彎女孩
胸腰彎33度
14歲C型脊椎側彎女孩
第一頁
上一頁
1
2
3
4
下一頁
最後一頁
第 1 頁
第 2 頁
第 3 頁
第 4 頁
產品搜尋
回首頁
SEARCH:
關於我們
醫療顧問
高雄輔具中心
創辦人的話
我們的願景
我們的承諾
脊椎側彎
脊骨矯形
青少年駝背矯形背架
青少年雞胸矯形支具
腰椎椎間盤矯形背架
腰椎退化狹窄矯形背架
案例分享
背架案例
好書推薦
新知分享
脊椎側彎
背架
聯絡我們
02-2388-1766
ihc.orthotics@gmail.com
line://ti/p/@221vrviy